Müller Dental-Technology
+41319515910 (Telefon)
Info
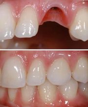
Über Müller Dental-Keramik Wir realisieren einen qualitativ hochstehenden und ästhetischen Zahnersatz zu einem attraktiven Preis-/Leistungs-Verhältnis Prothesen-Reparaturen Informationen Seit über 50 Jahren fertigen wir in zweiter Generation hochwertige und ästhetische Zahnersatz-Produkte unter Nutzung modernster Technologien Kostenloser Kurierdienst für Ihre zahntechnischen Arbeiten (Region Bern) Produkte, Dienstleistungen - CEREC Chairside Lösungen - inLab Labor Lösungen - Sirona Connect - Integrierte Implantologie - Vollkeramik - Press-Technologie - Implantologie - Bleaching - Knirscherschiene - Sportschutz - Farb- und Formoptimierung am Patienten direkt in unserem Labor - Digitale Zahnfarbmessung - Digitale Fotodokumentation - Dental-Postversand CAD/CAM-Zahnersatz Unter CAD/CAM-Zahnersatz versteht man die Anfertigung von Kronen, Brücken oder Implantatzubehör anhand computergestützter Technologie. Dabei erfolgen sowohl der Entwurf (CAD: Computer Aided Design) als auch die Herstellung (CAM: Computer Aided Manufacturing) mit Hilfe intelligenter Softwareprogramme und durch mit diesen vernetzte Fräseinheiten. Voraussetzung hierfür waren die rasanten Entwicklungen in der Computertechnologie im Verlauf der letzten Jahrzehnte, welche ermöglichen, dass komplizierte Programmsteuerungen mit in ihren Bewegungsmöglichkeiten erweiterten Fräsen gekoppelt werden können. Zunächst für Raumfahrt und Autoindustrie entwickelt, wurde die Technologie schließlich in die moderne Zahntechnik übernommen. Die CAD/CAM-Technologie kann von der Oberflächenerfassung des präparierten (beschliffenen) Zahnes bis zum Fräsen des Werkstücks alle Arbeitsschritte umfassen. Zunächst muss die Präparation dreidimensional übertragen werden. Danach erfolgt die Konstruktion des Werkstücks unter Berücksichtigung der Lagebeziehung zu den Nachbarzähnen und den Zähnen des Gegenkiefers. Schließlich wird die Konstruktion durch einen Fräsroboter in das Werkstück umgesetzt. Während die Herstellung von Zahnersatz im Seitenzahnbereich bereits häufig monolithisch (aus einem Stück) erfolgt, werden Kronen und Brücken im ästhetisch anspruchsvolleren Frontzahnbereich in aller Regel dadurch hergestellt, dass zunächst ein CAD/CAM-Gerüst angefertigt und dieses danach mit keramischen Massen verblendet wird. Diese Verblendung wird nach wie vor von Hand durch einen erfahrenen Zahntechniker in mehreren Farbschichten aufgetragen und aufgebrannt. Die CAD/CAM-Technologie hat den Einsatz hochwertiger, biokompatibler keramischer Materialien (Feldspat, Glaskeramik, Lithiumdisilikat, Zirkondioxid) vorangebracht. Aber auch Kobalt-Chrom-Legierungen, Kunststoffe und bioverträgliches Titan können mit der CAD/CAM-Technologie bearbeitet werden.
Englisch, Französisch, Deutsch
Cash, Invoice
Öffnungszeiten
- Montag
- 08:00 bis 12:00 - 13:30 bis 17:30
- Dienstag
- 08:00 bis 12:00 - 13:30 bis 17:30
- Mittwoch
- 08:00 bis 12:00 - 13:30 bis 17:30
- Donnerstag
- 08:00 bis 12:00 - 13:30 bis 17:30
- Freitag
- 08:00 bis 12:00 - 13:30 bis 17:30
- Samstag
- Geschlossen
- Sonntag
- Geschlossen
Medien









Map
Worbstrasse 225, 3073 Gümligen


