Mediwrite Rogers Weller Dr. Silvia
Buchhandlung · Übersetzer
Leimenstrasse 57, 4051 BaselZahnarzt · Zahnersatz · Implantologie · Schönheitschirurgie
+41612729710 (Telefon)
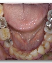
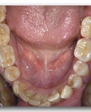
Folgende Behandlungen werden in unserer Praxis angeboten: Prophylaxe / Dentalhygiene Eine gute Mundhygiene ist das Wichtigste zur Erhaltung der Zähne. Durch eine professionelle Zahnreinigung durch die Dentalhygienikerin können wir Ihnen helfen eine gute Mundhygiene zu erreichen. Zustand der Zähne und des Zahnfleisches bestimmen, wie oft Sie zur Dentalhygienikerin kommen sollten, das ist in der Regel zwischen 1 bis mehrmals pro Jahr. Sie verhindern mit der täglichen Mundhygiene und der regelmässigen Zahnreinigung durch die Dentalhygienikerin Karies, Zahnfleischentzündung und Zahnbetterkrankung. Eine gesunde Mundhöhle schützt Sie auch vor vielen weiteren Erkrankungen! Wir helfen Ihnen eine gute Gesundheit zu erhalten! Aesthetische Zahnmedizin Schöne Zähne gehören heute zum Standart in unserer Gesellschaft und wiederspiegeln den sozialen Stand. Mit modernen Materialien und Technik lassen sich ästhetische Probleme der Zähne zufriedenstellend beheben. Bleaching Es gibt verschiedene Bleachingmethoden und es wird auch Aufhellen der Zähne von nicht zahnärztlichem Personal angeboten. Wichtig ist, dass speziell ausgebildetes medizinisches Fachpersonal das Bleaching der Zähne durchführt und kontrolliert. In unserer Praxis empfehlen wir das Homebleaching, das heisst der Patient erhält von uns zwei individuell hergestellte Medikamentenschienen für den Gel (Carbamidperoxid), der für das Aufhellen der Zähne dient. Der Patient behält die Schienen zu hause meistens eine Stunde pro Tag im Munde. Nach etwa 2 bis 3 Wochen sind die Zähne deutlich heller. Die Dauer der Aufhellung der Zähne ist von den Essgewohnheiten (Rauchen, Kaffee und Tee) abhängig, dauert aber meistens mehrere Jahre und das Bleachen kann danach wiederholt werden (die Medikamentenschienen können wieder verwendet werden!). Kunststofffüllungen In unserer Praxis machen wir seit über 10 Jahren keine Amalgamfüllungen mehr. Viele internationale wissenschaftliche Studien zeigen, dass die Kunststofffüllungen bei richtiger Verarbeitung und bei guter Mundhygiene des Patienten genau so lange halten wie Amalgamfüllungen! Auch optisch kann die Kunststofffüllung den ästhetischen Anforderungen genügen. Die Kunststofffüllung ist etwas schwieriger herzustellen, aber dank spezieller Ausbildung und unsere grosse langjährige Erfahrung garantieren wir Ihnen eine optimale Herstellung. Hier ein paar Bilder! Als Alternative machen wir auch Gold- und Keramikfüllung. Beide Füllungsarten werden im zahntechnischen Labor hergestellt und sind daher etwas teurer! Parodontalbehandlung Ist die Zahnfleischentzündung und die Entzündung des Zahnhalteapparates fortgeschritten und wurde ev. schon Knochen abgebaut, so sprechen wir von einer Parodontalerkrankung. Noch vor Jahren waren zur Behandlung aufwändige und schmerzhafte Operationen notwendig, aber heute wird die Behandlung hauptsächlich durch die Dentalhygienikerin durchgeführt. Diese erfolgt durch professionelle Reinigung der Wurzeloberflächen der Zähne, es werden die weichen Beläge und der harte Zahnstein entfernt und die Zahnfleischtaschen gesäubert. Denn ein Milligramm Zahnstein enthält etwa 100 bis 300 Millionen Bakterien und diese sind für die Erkrankung verantwortlich. Die Dentalhygienikerin instruiert den Patienten auch, durch eine für seine Situation angepasste Mundhygiene, die nun sauberen Verhältnisse zu erhalten und ein Fortschreiten der Erkrankung zu verhindern. Wenn die Entzündung mit diesen Behandlungsmethoden nicht unter Kontrolle gebracht wird, ist der Einsatz von Antibiotika oder ein chirurgischer Eingriff nötig! Wurzelbehandlung Wenn der Nerv im Zahn entzündet ist und starke Schmerzen bereitet, ist eine Wurzelbehandlung angezeigt. Dabei wird ein Loch in den Zahn gebohrt und der Nerv entfernt. Bei Anwesenheit von Bakterien wird ein Medikament zum Abtöten der Bakterien appliziert und einige Tage oder Wochen abgewartet. Der Nervenkanal wird dann fest mit einer Substanz verschlossen. Der so „tote“ Zahn wird meistens mit einer Füllung, einem Aufbau oder/und mit einer Krone versorgt und kann so seine Funktion lebenslang ausführen. Prothetik Wir bieten alle prothetischen Behandlungsmethoden an, u.a. Kronen, Brücken, Veneers, Teil- und Totalprothesen. Chirurgie Die operative Entfernung von Weisheitszähnen und Wurzelreste können wir in den meisten Fällen selber in unserer Praxis durchführen. Wenn wir aber der Meinung sind, dass der Fall unsere Grenzen der Kompetenz übersteigt, so überweisen wir den Patienten in die Praxis für Implantologie und zahnärztliche Chirurgie von Herr Dr. med. Dr. med. dent. Harald Schiel, Sempacherstrasse 43, 4053 Basel. Implantate Ein Implantat ist ein künstlicher Ersatz für einen verloren gegangenen Zahn. Die Wurzel wird mit eine metallenen Wurzel aus Titan ersetzt, darauf wird ein Aufbau eingeschraubt und die Krone einzementiert. Den chirurgischen Teil wird von Herr Dr. med. Dr. med. dent. Harald Schiel der Praxis für Implantologie und zahnärztliche Chirurgie, Sempacherstrasse[...]





Leimenstrasse 57, 4051 Basel
Buchhandlung · Übersetzer
Leimenstrasse 57, 4051 BaselZahnarzt · Zahnreinigung · Implantologie · Zahnersatz
Leimenstrasse 57, 4051 Basel

