Christine Metzger Physiotherapie
Physiotherapie
Schutzenmattstrasse 61, 4051 BaselZahnarzt · Zahnersatz · Implantologie · Chirurgie · Schönheitschirurgie
+41612727171 (Telefon)
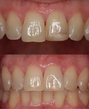
Herzlich willkommen in der Allgemein- und Familien-Zahnrztpraxis in Basel. Wir bieten unseren Patienten neben der allgemeinen Zahnmedizin auch die Lösung von komplexen zahnärztlichen Problemen. Die Ausbildung in der Implatologie und die grosse Berufserfahrung in der rekonstruktiven Zahnmedizin bietet dafür die optimale Grundlage. - Home - Über uns - Philosophie - Zahnmedizin - Implantologie - Rekonstruktive Zahnmedizin - Kinderzahnmedizin - Kontakt Von der Notfallbehandlung über die Behandlung einfacher Zahn- und Mundhöhlenerkrankungen bis hin zur Lösung von komplexen anspruchsvollen Problemen und individuellen Wünschen werden Sie in unserer ZaHnarztpraxis kompetent und nach den anerkannten Qualitäts- und Transparenzrichtlinien der Schweizerischen Zahnärzte-Gesellschaft SSO betreut. Unser Leistungs-Angebot: Diagnostik Ihren individuellen Bedürfnissen angepasste modernste Diagnostik, Beratung und wo nötig Behandlungsplanung. 3-D Röntgen, bakterielle Parodontal-Diagnostik zur exakten Bestimmung der für die Parodontose verantwortlichen Keime. Zahnreinigung / Prophylaxe Professionelle Zahnreinigung, Ernährungs- und Mundhygieneberatung. Betreuung durch langjährig erfahrene Prophylaxe-Assistentin. Airflow-System für schonende, schmerzfreie Zahnreinigung vorhanden. Ästhetische und restaurative Zahnmedizin Bleaching, zahnfarbene Füllungen aus Komposit oder Keramik (kein Amalgam),Keramik-Schalen, kosmetische Korrekturen, Zahnschmuck (Zahnschmuck für unsere Patienten gratis!). Parodontologie Behandlung und Nachsorge von Zahnbetterkrankungen. Oralchirurgie Weisheitszahn-Entfernung, Knochenaufbau, kosmetische Korrekturen am Zahnfleisch, Implantate. Implantologie Fachgerechtes Einbringen von künstlichen Zahnwurzeln und deren Versorgung mit Kronen, Brücken oder als Prothesenverankerung. Endodontologie Erhaltung devitaler Zähne durch modernste Wurzelbehandlungstechniken. Kronen- und Brückenprothetik (festsitzend) Rekonstruktion stark zerstörter und/oder fehlender Zähne durch festsitzende, ästhetisch vollendete Kronen und Brücken auf Wunsch auch metallfrei (Vollkeramik). Teil-,Hybrid-,Vollprothetik (abnehmbar) Zahn- und/oder implantatgetragen. Ganzheitliche Zahnmedizin Einbezug ganzheitlicher Aspekte in die Diagnostik, Planung und Therapie. Zusammenarbeit mit lokalen Spezialisten. Fachliche Kompetenz durch langjährige Aus-und Weiterbildung sowie modernste Behandlungsmethoden bilden die Grundlage für die nachhaltige Gesundheit Ihrer Zähne. Von der Notfallbehandlung über die Behandlung einfacher Zahn- und Mundhöhlenerkrankungen bis hin zur Lösung von komplexen, anspruchsvollen Problemen und individuellen Wünschen werden Sie in unserer Zahnarztpraxis kompetent und nach den anerkannten Qualitäts- und Transparenzrichtlinien der Schweizerischen Zahnärzte-Gesellschaft SSO betreut. Möchten Sie mehr über uns erfahren? Auf unserer Internetseite finden Sie weitere Informationen www.zahnarzt-basel-stadt.ch.





Schützenmattstrasse 61, 4051 Basel
Physiotherapie
Schutzenmattstrasse 61, 4051 BaselZahnarzt · Zahnersatz · Implantologie · Chirurgie · Schönheitschirurgie
Schützenmattstrasse 67, 4051 BaselZahnarzt
Schutzenmattstrasse 67, 4051 Basel

