Nicoletta Emma
Rundfunk · Hersteller
Ca' da Löügh 64, 6527 LodrinoZahnarzt · Zahnersatz · Implantologie · Kieferorthopädie
+41918806060 (Telefon)
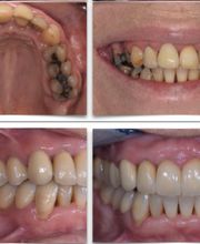
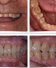
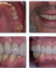
Suchen Sie nach einem strahlenden Lächeln und einer makellosen Zahngesundheit? Dann sind Sie hier genau richtig! Willkommen im Studio Cantarella, Ihrer vertrauenswürdigen Zahnarztpraxis in Lodrino. 🦷 In unserem Studio setzen wir uns dafür ein, hochwertige zahnärztliche Behandlungen in einer einladenden und professionellen Umgebung anzubieten. Wir sind spezialisiert auf eine breite Palette von Dienstleistungen, darunter: ✨ Prophylaxe und Zahnhygiene: Die Grundlage für ein gesundes und strahlendes Lächeln. 💎 Zahnästhetik: Für ein strahlendes und selbstbewusstes Lächeln. 🦷 Parodontologie: Behandlung und Vorbeugung von Zahnfleischerkrankungen. 💪 Implantologie: Wiederherstellung der Funktion und Ästhetik fehlender Zähne. 🌿 Wurzelbehandlungen: Behandlungen zur Erhaltung beschädigter Zähne. 🌟 Mundchirurgie: Chirurgische Eingriffe mit Kompetenz und Präzision. ⚽ Sportmundschutz: Wir schützen die Zähne von Sportlern mit maßgeschneiderten Schutzmaßnahmen. 🔩 Feste und abnehmbare Prothesen: Maßgeschneiderte Lösungen zur Wiederherstellung der Zahnfunktion. 🛠️ Konservierende Behandlungen: Wir erhalten die Zahngesundheit mit minimal-invasiven Behandlungen. 🩹 Traumatologie: Wir behandeln Zahnverletzungen und Traumata mit Sorgfalt und Kompetenz. 🦷 Kieferorthopädie: Korrektur von Zahnfehlstellungen für ein perfektes Lächeln. 👶 Kinderzahnheilkunde: Wir begrüßen die Kleinen mit sanfter und individueller Betreuung. Wir sind hier, um Sie auf Ihrem Weg zu optimaler Zahngesundheit und einem strahlenden Lächeln zu begleiten. Kontaktieren Sie uns noch heute, um einen Termin zu vereinbaren und Ihre Reise zu einem strahlenden Lächeln und einer dauerhaften Zahngesundheit zu beginnen! 🌈🦷







Via Ponte Vecchio 16, 6527 Lodrino
Rundfunk · Hersteller
Ca' da Löügh 64, 6527 LodrinoKosmetik · Kosmetikstudio
Via Cantonale, 6527 LodrinoBar
Palazzo Ronny, 6527 Lodrino

